Nauseas, visión borrosa y confusión son algunos de los síntomas del aneurisma cerebral, enfermedad con la que acaba de ser diagnosticada Kim Kardashian.

También te puede interesar: ¡Aneurisma cerebral! Kim Kardashian revela su diagnóstico médico

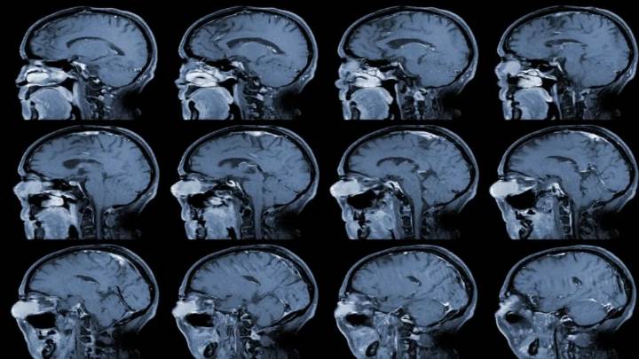
Recientemente la socialité, modelo y empresaria Kim Kardashian, reveló por medio del reality The Kardashians un problema médico que se le diagnosticó por medio de una resonancia magnética, el cual se trata de un aneurisma cerebral, mismo causado por el estrés que ha presentado con problemas personales.

Sin embargo, no es el único factor que causa este problema y aquí te explicamos lo que es un aneurisma.

¿Qué es un aneurisma cerebral?

Un aneurisma cerebral se forma cuando una arteria del cerebro se debilita y se infla, creando una pequeña bols

See Full Page