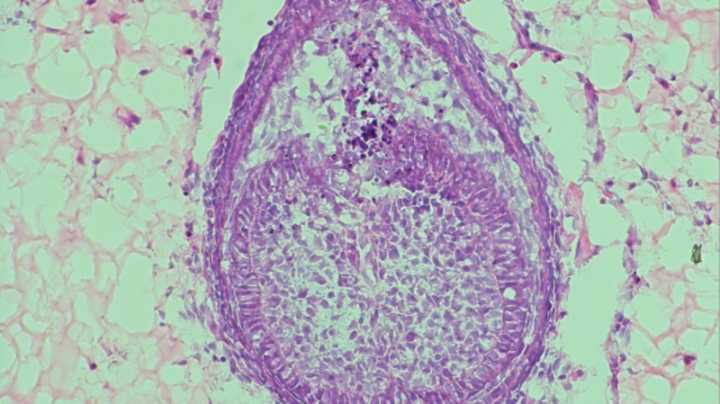
A stained section of a tooth organoid grown in the lab at King’s College London. Dr. Xuechen Zhang
It’s not surprising that many people fear the dentist. Replacing a tooth often requires invasive surgery and implanting a titanium screw into a patient’s jawbone, then waiting months for that to strengthen into an artificial root, before attaching a crown or cap on top of it.
But research groups around the world are working to find ways to implant or grow real biological teeth in a human jaw.
That may be a way off, but at King’s College London, Ana Angelova Volponi, director of the postgraduate program in regenerative dentistry, has been experimenting with lab-grown teeth for almost two decades, and was part of a team that in 2013 grew a tooth from human and mouse cells.
This year, sh

CNN

E Online
Hutchinson News
FOX 13 Seattle Entertainment
Reuters US Top
KRGV Rio Grande Valley
ScienceAlert en Español
NHL
MENZMAG Entertainment
CNN Politics
NBC10 Philadelphia Entertainment