Warning: This post contains graphic images not suitable for some viewers. Viewer discretion is advised.
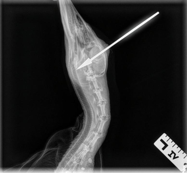
SPRING LAKE, Utah (ABC4) -- A domestic duck was found injured with a blow dart lodged through his head in Spring Lake, Utah, Saturday morning.
Wasatch Wanderers, a non-profit animal rescue organization, called the incident "a disturbing act of animal cruelty."
Some locals found the injured bird struggling and reached out to Wasatch Wanderers Animal Rescue, who were reportedly able to safely capture him and take him to a veterinarian. Due to the severity of his injuries, the duck had to be humanely euthanized.
Domestic duck found injured with a blow dart lodged through his head in Spring Lake, Utah. (Courtesy of Wasatch Wanderers)
"This duck was clearly suffering," said Adri Ballif,

ABC4 News

KSL NewsRadio
FOX 13 News
Local News in Georgia
Associated Press US and World News Video
ICE News
Daily Voice
Raw Story
The Daily Beast
Salon
The Monroe News
CNN