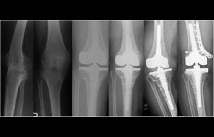
Total knee arthroplasty (TKA) is widely used to treat end-stage knee disorders, but its role in ankylosed knees has long been debated due to the technical complexity and heightened risk of complications. A recent study has provided important insights, showing that although patients with ankylosed knees experience lower recovery of range of motion (ROM) and face higher complication rates compared with conventional osteoarthritis cases, Total knee arthroplasty still delivers meaningful improvements in function, mobility, and quality of life.
In this retrospective analysis, researchers evaluated outcomes of patients with ankylosed knees who underwent Total knee arthroplasty. Preoperatively, most patients had severely restricted or no motion, limiting independence and quality of life. After s

Medical Dialogues

The Conversation
Nola Business