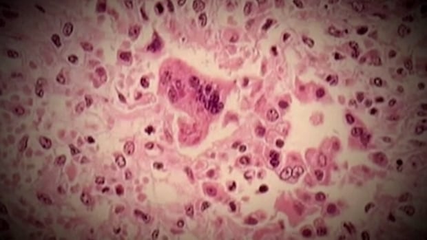
Measles infections continue to rise in northeast B.C., with new numbers showing the virus spreading through workplaces and public spaces around Fort St. John.
The B.C. Centre for Disease Control reported 29 new confirmed and probable infections in the region as of Thursday, nine of which were considered active.
Recent exposure alerts have been issued for the local hospital, restaurants, banks, grocery stores, and businesses in the city's airport area.
Several exposures have also been recorded at Dawson Creek's hospital emergency room.
A full list of exposure locations can be found here .
Measles outbreak expected to continue in northeast B.C., health officials say
Northeast B.C. measles vaccinations below herd immunity as school resumes, health officials say
Since an outbreak b

CBC British Columbia

Raw Story
CNN
ABC 7 Chicago Entertainment
Grunge