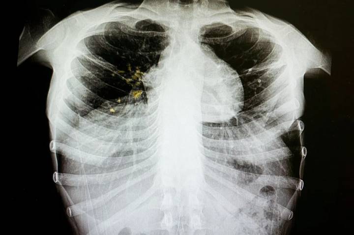
Provincial health officials have declared an outbreak of tuberculosis in Edmonton's core, after lab tests confirmed two inner-city residents had the same strain of the infectious disease.
Primary Care Alberta (PCA) issued a news release Thursday that announced the outbreak. But in that release, it stated the decision to declare an outbreak was made some time last month, once the lab results for those two Edmontonians came back.
The results suggest there was recent local transmission, PCA said.
Advertisement
Advertisement
Advertisement
Advertisement
Tuberculosis is an infectious disease that usually affects the lungs, but can affect other parts of the body. It can spread when an infected person coughs, sneezes and spits, but is treatable with antibiotics.
PCA, a newly created provin

Yahoo Canada

CTV News
Global News Calgary
Los Angeles Times Sports
Mediaite
5 On Your Side Sports