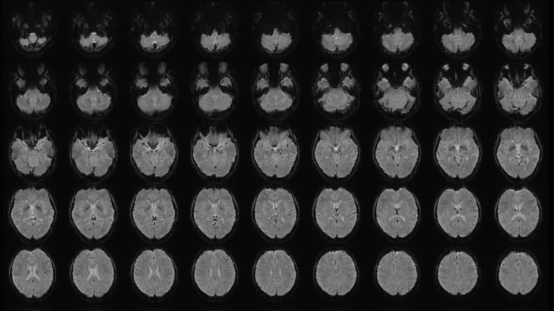
Functional magnetic resonance imaging (fMRI) is a non-invasive technique that measures brain activity. This fMRI image shows multiple horizontal views of the brain, arranged from bottom to top. Tomoyasu Horikawa
A scientist in Japan has developed a technique that uses brain scans and artificial intelligence to turn a person’s mental images into accurate, descriptive sentences.
While there has been progress in using scans of brain activity to translate the words we think into text, turning our complex mental images into language has proved challenging, according to Tomoyasu Horikawa, author of a study published November 5 in the journal Science Advances .
However, Horikawa’s new method, known as “mind-captioning,” works by using AI to generate descriptive text that mirrors info

CNN Health

Rolling Stone
PC World
New York Post
New York Post Opinion
CNBC
CBS Colorado Business
The Hill
Cache Valley Daily
The radio station 99.5 The Apple
Raw Story