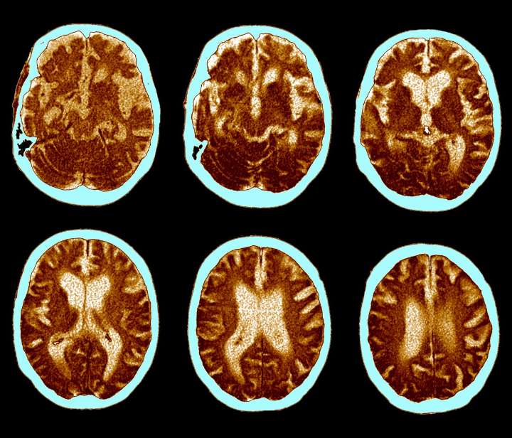
Top-line results from two large clinical trials by Novo Nordisk, the company behind Ozempic and Wegovy, found oral semaglutide failed to slow down Alzheimer's progression
GLP-1 Pill Fails to Slow Alzheimer’s Progression in Clinical Trial

149

Top-line results from two large clinical trials by Novo Nordisk, the company behind Ozempic and Wegovy, found oral semaglutide failed to slow down Alzheimer's progression