Photo by Vika Glitter via Pexels
By Stephen Beech
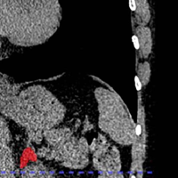
The first physical signs of chronic stress have been detected using AI.
The state-of-the-art technology was used to assess routine chest scans.
Using a deep learning AI model , American researchers identified the first-of-its-kind biomarker of chronic stress detectable through routine imaging.
They say the breakthrough could lead to quicker, more effective treatments.
Chronic stress can affect both physical and psychological well-being, causing a range of health issues -including anxiety, insomnia, muscle pain, high blood pressure and a weakened immune system.
Previous research has shown that chronic stress can contribute to the development of major illnesses such as depression , heart disease and obesity.
Lead author of the n

Citizen Tribune

Local News in Washington
The Conversation
AlterNet
CNN Politics
Reuters US Domestic
The radio station 99.5 The Apple
Raw Story
Associated Press US and World News Video
Detroit News
Inside Precision Medicine