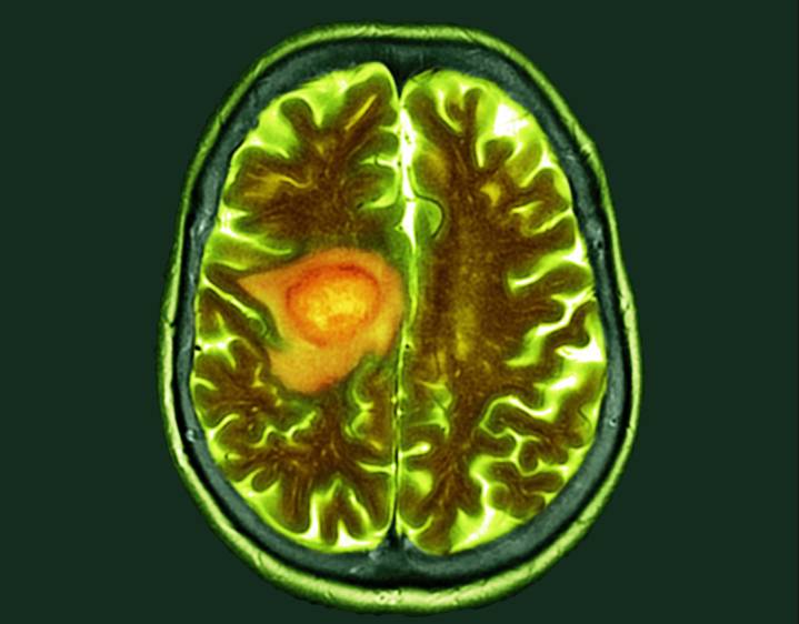
Glioblastoma remains one of the most lethal solid tumors, with median survival measured in months despite surgery, radiation, and chemotherapy. Immunotherapies that transformed treatment for other cancers have repeatedly fallen short in glioblastoma, largely because the tumor microenvironment suppresses nearly every arm of the immune response. Against this backdrop, researchers have been searching for platforms that can both kill tumor cells and disrupt the immunosuppressive ecosystem that protects glioblastoma from attack.
A new preclinical study from Mass General Brigham, published in Nature Cancer , demonstrates that a rationally engineered herpes simplex virus (HSV-1) may provide exactly that combination. The team designed a next-generation oncolytic virus capable not only of tar

Inside Precision Medicine
ABC News
Associated Press US News
Cover Media
Raw Story
Reuters US Top
Columbia Daily Tribune
Press of Alantic City Business