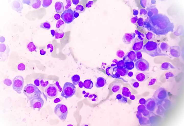
Researchers at the University of Pennsylvania have discovered that delayed side effects such as neurotoxicity and intestinal inflammation that can appear weeks or months after B-cell maturation antigen–directed (BCMA) CAR T cell therapy for multiple myeloma have a common root cause and correlate to high rates of death unrelated to cancer relapse, primarily infections. These findings, presented recently at the American Society of Hematology Annual Meeting in two separate abstracts ( 14221 , 12231 ), detail how these side effects, called CAR T–associated immune-related adverse events (CirAE), arise after therapy and may be preventable with clinical interventions.
“By identifying a common immunologic profile for these seemingly disparate side effects, we’re able to better understand and

Inside Precision Medicine

Associated Press US News
People Top Story
CNN Crime and Justice
America News
Raw Story
Cover Media
Law & Crime
RadarOnline