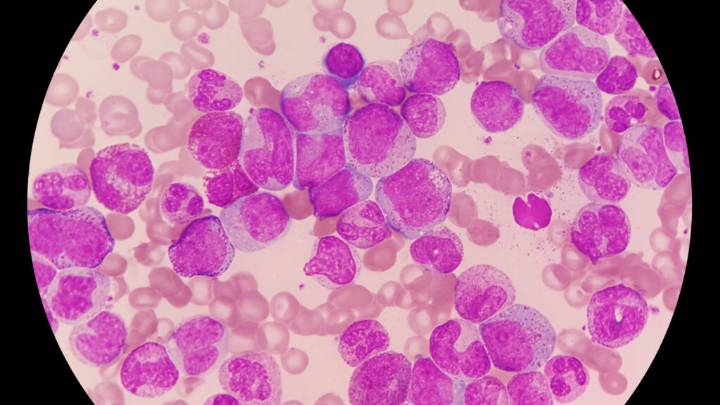
ORLANDO, Fla. — Terns Pharmaceuticals reported an update Monday on its targeted leukemia drug that maintained and even boosted molecular response rates in advanced-stage patients.
The study results, while still early, are likely to draw even more positive attention from investors who already view the Terns drug as a potential successor to a commercial blockbuster from Novartis.
At 24 weeks, four escalating doses of the Terns drug, called TERN-701, achieved a major molecular response of 64% in patients with chronic myeloid leukemia, a slow-growing cancer that starts in myeloid cells. The 28 patients evaluable had already experienced treatment with a median of three drugs.
To read the rest of this story subscribe to STAT+. Subscribe Log In

STAT News

Reuters US Economy
Click2Houston
Reuters US Top
Associated Press US News
The Hollywood Reporter Business
WVTM 13 Entertainment
Butler Eagle
The Daily Sentinel
People Human Interest