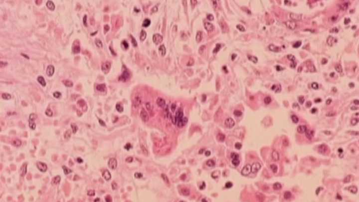
A Connecticut child diagnosed with measles attends a school in Trumbull, according to town officials.
The child, who is under the age of 10, goes to Christian Heritage School, the town posted on its Facebook page on Thursday.
Stream Connecticut News for free, 24/7, wherever you are. WATCH HERE
"Local health officials are working closely with Christian Heritage School administration and the Connecticut Department of Public Health to ensure that all proper precautions are being taken to ensure the health and well being of all students, faculty and Trumbull residents," the post read.
The Department of Public Health announced the case in Connecticut on Wednesday . It is the state's first measles case since 2021.
“We are working with the family to be able to help determine all the elem

NBC Connecticut

WTOP
Raw Story
OK Magazine
The Cut
America News
AlterNet