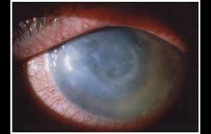
Researchers have found in a new study that elevated superficial punctate keratitis (SPK) is often the earliest sign of Acanthamoeba keratitis (AK) and can resemble contact lens-related sterile keratitis. The study, published in the Journal of Optometry , analyzed 14 eyes from 13 AK patients diagnosed via detection of Acanthamoeba cysts in corneal scrapings. Corneal scraping proved to be a valuable tool for early diagnosis, enabling timely initiation of treatment and improving patient outcomes. Early recognition is particularly important because misdiagnosis or delayed intervention can worsen the disease and increase the need for surgical management.
The study showed that PHMB (polyhexamethylene biguanide) monotherapy was effective in treating early-stage AK, resulting in significant imp

Medical Dialogues

India Today
The Conversation
The Babylon Bee
CNN
AlterNet
Voice of Alexandria Sports
Bossip Celebrity
US Magazine
New York Post
Raw Story