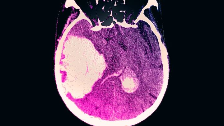
It’s long been known that heavy drinking raises blood pressure and damages the liver . But new research suggests it may also deal a devastating blow to the brain—causing life-threatening hemorrhagic strokes.
The study , published November 5 in Neurology, found that people who consumed three or more alcoholic drinks a day experienced bleeding strokes inside the brain an average of 11 years earlier than light or non-drinkers—and faced worse outcomes such as larger bleeds, greater brain damage, and higher mortality.
( Strokes are on the rise—and these are the reasons why. )
“Heavy alcohol use may not only increase the risk of having a brain bleed at a younger age, but may also worsen the underlying damage when one occurs,” says Edip Gurol , lead author of the study and

National Geographic Science

The Conversation
Bristol.Live Latest
The Daily Record
Gov.UK News
Birminghalm Mail
RadarOnline
AlterNet