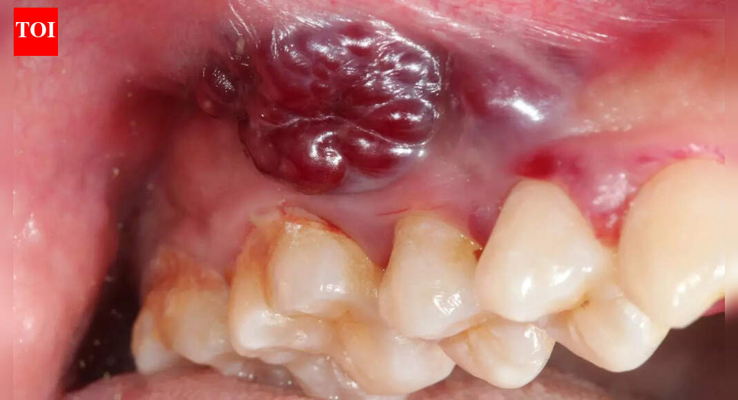
A mouth ulcer is usually seen as a small irritation that appears after accidentally biting the inside of your cheek or eating spicy food when the body is stressed. Most people expect it to heal on its own within a few days and rarely think twice about it. However, for an increasing number of Indian women, a simple ulcer that refuses to disappear is becoming an early sign of something far more serious. Oral cancer is rising across urban India, and one of the earliest visible warnings is a non-healing ulcer inside the mouth or on the lips. Paying attention early can genuinely save lives and prevent late-stage diagnosis. A peer-reviewed study published in the Journal of Oral Biology and Craniofacial Research found that persistent ulcers and white or red patches were common early indicato
Indian women and growing oral cancer cases: Why a non-healing mouth ulcer could be the earliest red flag
The Times of IndiaJust now
144


AlterNet
WCPO 9
The Conversation
Press of Alantic City Business
New York Post
Essentiallysports Football
Mediaite
RadarOnline