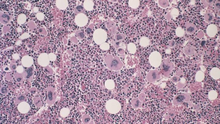
ORLANDO, Fla — An experimental drug from Incyte achieved meaningful spleen response rates and improvements in disease symptoms in patients with advanced myelofibrosis, according to study results reported Sunday.
The data, while preliminary, should bolster the company’s efforts to develop a new type of drug for myelofibrosis, a bone-marrow cancer, by targeting a mutation in a protein called calreticulin.
Incyte needs new medicines because Jakafi, its current myelofibrosis blockbuster with expected sales of $3.5 billion this year, is losing patent protection in 2028.
To read the rest of this story subscribe to STAT+. Subscribe Log In

STAT News

AlterNet
13 On Your Side
People Human Interest
Verywell Health
The Conversation
NBC News
CNN Health
The Daily Beast